0   /   100
Αποτελέσματα Σιδεράκια στα δόντια — ορθοδοντικής θεραπείας — Πριν & Μετά

Τα Περιστατικά μας – Ορθοδοντικός για σιδεράκια

Παρακάτω θα βρείτε φωτογραφικό υλικό από πραγματικά περιστατικά ορθοδοντικής θεραπείας στο ιατρείο του Δρ. Κωνσταντίνου Τσουμή, ορθοδοντικός για σιδεράκια δοντιών στη Θεσσαλονίκη. Κάθε ζεύγος εικόνων δείχνει την κατάσταση πριν την έναρξη της θεραπείας και το τελικό αποτέλεσμα — σε παιδιά, εφήβους και ενήλικες, με διαφορετικές κλινικές ανάγκες και θεραπευτικές προσεγγίσεις.

Φωτογραφικό Αρχείο Περιστατικών

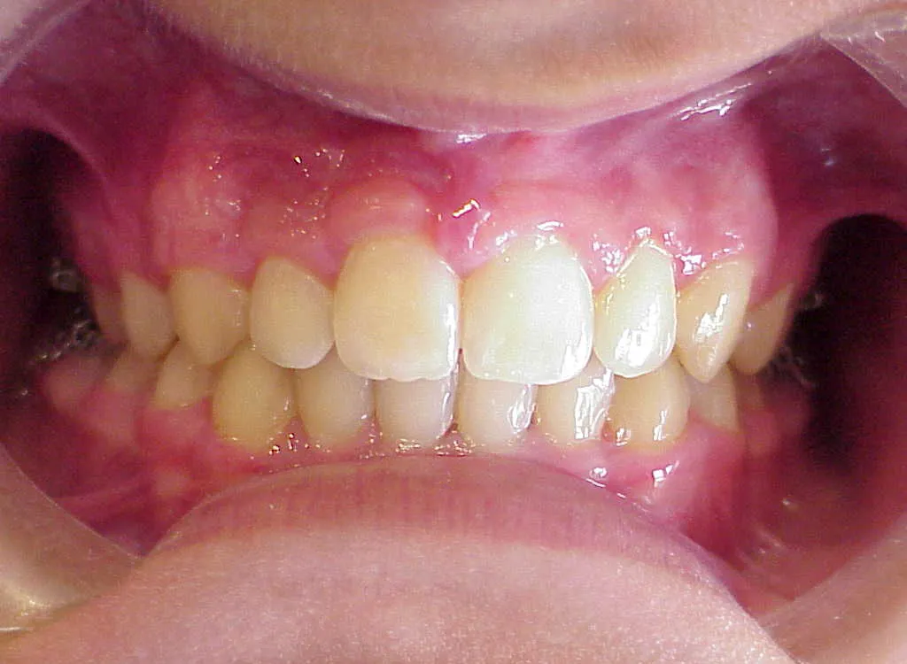
Περιστατικό 1

Σιδεράκια στα δόντια

Περιστατικό 2

Σιδεράκια στα δόντια

Περιστατικό 3

Σιδεράκια στα δόντια

Περιστατικό 4

Σιδεράκια στα δόντια

Περιστατικό 5

Σιδεράκια στα δόντια

Περιστατικό 6

Σιδεράκια στα δόντια

Περιστατικό 7

Σιδεράκια στα δόντια

Περιστατικό 8

Περιστατικό 9

Περιστατικό 10

Περιστατικό 11

Περιστατικό 12

Περιστατικό 13

Περιστατικό 14

Περιστατικό 15

Περιστατικό 16

Περιστατικό 17

Περιστατικό 18

Περιστατικό 19

Περιστατικό 20

Περιστατικό 21

Περιστατικό 22

Περιστατικό 23

Περιστατικό 24

Περιστατικό 25

Περιστατικό 26

Περιστατικό 27

Περιστατικό 28

Περιστατικό 29

Γιατί τα Αποτελέσματα Μιλούν από Μόνα τους

Με πάνω από 37 χρόνια κλινικής εμπειρίας στην ορθοδοντική, και τα σιδεράκια στα δόντια, το ιατρείο μας έχει αντιμετωπίσει χιλιάδες περιστατικά — από απλό συνωστισμό δοντιών μέχρι σύνθετες σκελετικές ανωμαλίες γνάθου, γεγονός που κατατάσσει τον Δρ. Τσουμή έναν από τους πιο έμπειρους ορθοδοντικούς για σιδεράκια. Το φωτογραφικό αυτό αρχείο αντικατοπτρίζει μόνο ένα μικρό μέρος της δουλειάς μας. Κάθε ορθοδοντική θεραπεία, από εξειδικευμένο ορθοδοντικό για σιδεράκια, σχεδιάζεται εξατομικευμένα — επιλέγοντας τη μέθοδο που ταιριάζει στον κάθε ασθενή, με στόχο το καλύτερο δυνατό αποτέλεσμα που διατηρείται στον χρόνο.

Ιατρείο Τσουμής icon ραντεβού
Θέλετε να δείτε τι μπορεί να επιτευχθεί στη δική σας περίπτωση; Επικοινωνήστε μαζί μας για να ορίσουμε μια συμβουλευτική εξέταση στο ιατρείο μας στην Αγγελάκη 39, Θεσσαλονίκη.